Az egészségügyben elterjedt, de nem mindenki számára egyértelmű „általános laborvizsgálat” fogalma most érthetőbbé válik. Az általános labor egy átfogó vér- és vizeletvizsgálat, mely szerveink állapotáról ad felvilágosítást.
Májfunkció
A májfunkciós vizsgálatok (GOT, GPT, GGT, ALP, össz. Bilirubin, konj. Bilirubin, LDH) segítenek kimutatni vérfertőzéseket (hepatitis, mononucleosis), gyógyszer vagy alkohol okozta májkárosodást, illetve daganatos megbetegedéseket.
A máj kulcsszerepet játszik a méregtelenítésben, valamint a szénhidrát-, fehérje- és zsíranyagcserében. Bár a májsejtek jól regenerálódnak, tartós károsító hatás esetén a folyamat visszafordíthatatlanná válhat.

Vesefunkció
A vesefunkció vizsgálata (Karbamid, Kreatinin, se. Húgysav, Na, K, Cl) során a mért értékek egymáshoz való viszonyát kell figyelni. A vesék feladata a só- és vízháztartás, az anyagcsere-folyamatok szabályozása, valamint a vizelet előállítása.
Súlyos vesekárosodás esetén a Karbamid és Kreatinin értéke többszörösére emelkedhet. A Karbamid szintje magasabb lehet túlzott fehérjebevitel vagy gyomorvérzés esetén is.
Zsíranyagcsere
A zsíranyagcsere vizsgálata során a koleszterin, triglicerid, HDL és LDL koleszterin szintjét mérjük. Ezek a klasszikus vérzsírok, melyeknek magas értéke rizikófaktor a szív- és érrendszeri megbetegedések kialakulásában.
A koleszterin értéke általában örökölhető, míg a trigliceridet az étrend jelentősen befolyásolja. A HDL koleszterin (a köznyelvben „jó” vagy „védő” koleszterin) magasabb értéke csökkenti a szív- és érrendszeri betegségek kockázatát. Az LDL („rossz” koleszterin) lerakódhat az érfalakra, plakkokat képezve, ami érszűkülethez és így infarktus vagy agyvérzés nagyobb esélyéhez vezet.
Léteznek speciális, nem TB által támogatott vizsgálatok, mint például a lipoprotein öröklött rizikófaktor értéke, amely étkezéssel nem befolyásolható és szerepet játszik a szívinfarktus és a koszorúér-betegségek kialakulásában.

Vércukor
A vércukorszint eltérései, mind az alacsony, mind a magas érték komoly tüneteket okozhatnak.
Húgysav
A húgysav a purin vegyületek lebontásának végterméke. A purinok fehérje formájában, táplálékkal jutnak a szervezetbe, és emésztés során húgysavvá alakulnak. Aki sok húst fogyaszt, annál magasabb lehet a húgysavszint. Túlzott alkoholfogyasztás szintén emelheti a húgysavszintet, mivel az alkohol gátolja a húgysav szintézisét, ami kristályok formájában az ízületekben lerakódva fájdalmat okozhat, hasonlóan a köszvényhez.
Bizonyos szövetszéteséseknél, vérképzőrendszeri betegségekben, ólommérgezésben is emelkedhet a húgysavszint. Felhalmozódása a vesékben vesekő kialakulásához vezethet.
Süllyedés
Régebben kedvelt vizsgálat volt gyulladások és fertőzések kimutatására. Ma már specifikusabb vizsgálatok, mint például a CRP (mely csak fennálló gyulladás esetén emelkedik és gyorsan normalizálódik) állnak rendelkezésre. A süllyedés értéke hónapokig is eltérhet a normálistól, és számos betegségben magasabb lehet, így nem tekinthető specifikusnak. Előnye, hogy egyszerűbben és olcsóbban meghatározható, mint a CRP.
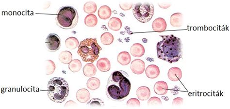
Fehérvérsejtek
A fehérvérsejtek az immunrendszer sejtjei, melyek a fertőző betegségekkel és idegen anyagokkal szemben védenek. Szintjük emelkedik gyulladásos, fertőzéses állapotoknál és leukémia esetén. Csökkenhet kemoterápia, csontvelőkárosodás vagy toxikus gyógyszerhatások következtében.
A különböző fehérvérsejtek (neutrofilek, limfociták, monociták, eozinofil sejtek, bazofil sejtek) százalékos eloszlása, a teljes számukkal együtt, értékes diagnosztikai információval szolgálhat az orvosok számára.

Vörösvérsejtek és paramétereik
A vörösvérsejtek képzését stimuláló eritropoetin a vesében termelődik, így vesekárosodás esetén szinte törvényszerű a vörösvérsejtek számának csökkenése, ami súlyos vérszegénységhez vezethet.
A vörösvértestek szállítják az oxigént és részt vesznek a széndioxid szállításában. Emelkedett számuk előfordulhat folyadékvesztés (szomjazás, égés) esetén, ami a keringés megterhelésével és a trombózis veszélyének fokozódásával jár.
Hemoglobin: A hemoglobin a vér festékanyaga, melyhez az oxigén kötődik a tüdőből a szövetek felé történő szállítás során. Alacsony szintje vérszegénységre, vashiányra, B12-vitamin vagy folsav hiányára utalhat. Emelkedett szintje kiszáradással, vörösvértest-túltermeléssel, tüdőbetegségekkel vagy hegyvidéki tartózkodással lehet összefüggésben.
Hematokrit: Ez az érték a vérben lévő szilárd véralkotók (vörösvértestek, fehérvérsejtek, vérlemezkék) arányát mutatja.
Trombocita: A vérlemezkék a véralvadásban játszanak kulcsszerepet. Számuk csökkenése vérszegénységhez vezethet.
Vas: A vas a hemoglobin fontos alkotóeleme. Vashiány esetén csökken a vér oxigénszállító kapacitása. A vérszegénység tünetei közé tartozik a sápadtság, gyengeség, szédülés és koncentrációs zavarok. A vas lerakódása hosszú távon máj- és szívizomkárosodáshoz vezethet.

Teljes vizeletvizsgálat
A teljes vizeletvizsgálat rutinszerűen alkalmazott módszer fertőzések, anyagcsere-rendellenességek és vesebetegségek felismerésére.
Ultrahang vizsgálatok
Rendelőnkben az alábbi ultrahang vizsgálatokat végezzük: nyaki, egyéb lágyrész, emlő, hónalji régiók, hasi, kismedencei és here ultrahang.
Amennyiben emlő vagy pajzsmirigy ultrahang vizsgálatra jelentkezik, kérjük, olvassa el a vizsgálatspecifikus betegtájékoztatót. Ha a szövettani mintavétel szükségessé válhat, a vizsgálat időtartamának lerövidítése érdekében érdemes előzetesen kitölteni a beleegyező nyilatkozatot.