A fogfájás az egyik legkellemetlenebb fájdalomtípus, pláne, ha szabadulni se tudunk tőle, vagy éppen abban se lehetünk biztosak, melyik fogunkból ered. A kisugárzó, hasogató, feszítő vagy lüktető fájdalom leggyakoribb oka a fogbélgyulladás.
Okozhat kisugárzó fájdalmat az impaktált bölcsességfog is, azaz amikor a bölcsességfog az előtörésben akadályozva van (pl. rossz irányban nő, nincs elég helye) és elakad. Ilyenkor gyakori, hogy nekifeszül az előttük lévő fogaknak és rájuk fekszik, vagy éppen összetolja azokat. Az impaktált bölcsességfogak gyakran bújnak meg a gócbetegség tünetei mögött. Emellett előidézhetik a szomszédos fog szuvasodását, gyökérfelszívódását, összetolhatják a fogsorunkat.
A fogszuvasodásnak vagy lyukas fogfájásnak is nevezett szuvasodást számos tényező okozza, például a szájban lévő baktériumok, a gyakori nassolás, a cukros italok kortyolgatása és a fogak nem megfelelő tisztítása. A fogszuvasodás a világ leggyakoribb egészségügyi problémái közé tartozik. Különösen gyakoriak gyermekeknél, tinédzsereknél, de az idősebb felnőtteknél is. Ha a fogszuvasodást nem kezelik, a lyukak nagyobbak lesznek, és a fogak mélyebb rétegeit is érintik. Súlyos fogfájáshoz, fertőzéshez és fogvesztéshez is vezethetnek.
A fogszuvasodás okai és folyamata
Mindennapi étkezésink során lepedék keletkezik fogainkon, mivel az el nem távolított sok cukor és keményítő a baktériumok elterjedéséért felelnek. A fogakon maradó lepedék idővel az ínyvonal alatt vagy fölött fogkővé keményedhet. A lepedékben található savak eltávolítják az ásványi anyagokat a fog kemény, külső zománcából. Ez az erózió apró nyílásokat vagy lyukakat okoz a zománcban - az üregek első szakaszában. Miután a zománc területei elhasználódtak, a baktériumok és a sav elérhetik a fogak következő rétegét, az úgynevezett dentint. Ez a réteg puhább, mint a zománc, és kevésbé ellenáll a savnak. Ahogy a fogszuvasodás kialakul, a baktériumok és a sav folytatják útjukat a fogakon keresztül, az idegeket és ereket tartalmazó belső foganyag (pulpa) mellett mozogva. Mivel duzzanat nem tud kialakulni a fog belsejében, ezért az ideg összehúzódik, ami fájdalmat okoz.
A szuvasodás leggyakrabban a hátsó fogakban fordul elő (őrlőfogak és premolárisok, azaz a kisőrlők). Amennyiben egész nap során állandóan nassolunk és üdítőt kortyolgatunk, a fogainknak nem lesz ideje öntisztulni, és a szájbaktériumok könnyebben elterjednek.
Az altatás előtti etetés, történjen akár tápszerrel, gyümölcslével vagy más cukortartalmú folyadékkal, károsíthatja a csecsemők fogait, ugyanis alvás közben órákig a fogaikon maradnak, táplálva a szuvasodást okozó baktériumokat.
A fluorid, egy természetesen előforduló ásvány, segít megelőzni a fogszuvasodást, és még a fogak károsodásának legkorábbi stádiumait is visszafordítja.
Az idősebb felnőttek is nagyobb kockázatnak vannak kitéve. Idővel a fogak elhasználódhatnak, és az íny visszahúzódhat, így a fogak sebezhetőbbé válnak a szuvasodás ellen. Az évek múlásával a fogtömések meggyengülhetnek, elkezdhetnek lebomlani vagy durva élek alakulhatnak ki.
A gyomorégés vagy a gastrooesophagealis reflux betegség (GERD) gyomorsav áramlását okozhatja a szájban (reflux), ami elhasználja a fogzománcot, és jelentős fogkárosodást okozhat. Ez a dentin nagyobb részét teszi ki a baktériumok támadásának, ami fogszuvasodást okoz. Az anorexia és a bulimia jelentős fogerózióhoz és fogszuvasodáshoz vezethet. Az ismételt hányásból (tisztításból) származó gyomorsav átmossa a fogakat, és elkezdi feloldani a zománcot.
A fogszuvasodás jelei és tünetei kiterjedésüktől és elhelyezkedésüktől függően változnak. Amikor egy üreg csak most jelent meg, előfordulhat, hogy egyáltalán nincsenek tünetei. Ne várja ki a súlyosabb tüneteket, keresse fel szakorvosainkat már a kezdeti tünetek jelentkezésekor! Lehet, hogy nem rendelkezik tünetekkel, ezért is fontos a rendszeres fogászati ellenőrzés és fogtisztítás, még akkor is, ha látszólag egészségesek fogaink.

A fogzás csecsemő- és gyermekkorban
Sokan és gyakran úgy vélik, hogy a fogzás olyan tüneteket okozhat, mint az orrfolyás, láz, fájdalom, ingerlékenység és alvási problémák. Azonban a tudományos bizonyítékok ezen állítások mögött nem egyértelműek. A kutatók sokféle következtetést vontak le az említett tünetek és a fogzás közötti kapcsolatról. Noha sok szakértő egyetért abban, hogy a fogzás nem okoz orrfolyást, a fogzás okozta stressz miatt azonban a csecsemő fogékonyabbá válhat a gyermekkori betegségekre.
A csecsemők első foga körülbelül 6 hónaposan bújik elő, és általában 30 hónapos korra a kisdedeknek megvan mind a 20 foguk. Az egyes fogak fogzási ideje általában 8 napig tart. Ez 4 nappal azelőtt kezdődik, hogy a fog áttörné a fogínyt, és még 3 napig tart.
Sok szülő észlel az új fog megjelenése előtt olyan problémákat, mint például az orrfolyás vagy a láz, azonban egyes szakértők úgy vélik, hogy ezek a tünetek nem kapcsolódnak közvetlenül a fogzáshoz. A gyermekorvosok gyakran figyelmeztetnek, hogy a fogzás nem okoz orrfolyást, lázat, hasmenést vagy pelenkakiütést. Egyes szakértők azonban úgy vélik, hogy közvetett kapcsolat állhat fenn, és hogy a fogzás stresszének következtében a csecsemők érzékenyebbé válhatnak a fertőzésekre, amelyek olyan tüneteket okozhatnak, mint az orrfolyás.
6 és 30 hónapos kor között a fogak megjelenésével az immunrendszer megváltozik. Ebben az időszakban csökken az a védelem, mellyel a csecsemő született, illetve amihez az anyatej által jutott. A csecsemő egyre inkább kapcsolatba kerül a szélesebb világgal, és egyre inkább ki van téve a gyermekkori betegségeknek. Ráadásul, mivel hajlamosak rágni a dolgokat a fogzás folyamán, a baktériumoknak is jobban ki vannak kitéve.
A fogzás általános tünetei és a betegségek megkülönböztetése
A fogzás fő jelei a következők: nyáladzás, arckiütés (amely akkor következik be, amikor a nyál kis mennyiségben olyan ételt tartalmaz, amely irritálja a bőrt), fokozott vágy, hogy rágjon, nyűgösség, enyhe fogínyfájdalom (amelynek oka, hogy a száj baktériumai az új kitörésbe kerülhetnek az ínyben - nem minden gyermek érzi).
A fogzás nem valószínű, hogy okoz: túlzott sírást, magas lázat, a folyadék elutasítását, alvászavart, hasmenést vagy laza székletet, hányást, köhögést.
A fogzást számos változás, meglepő tünet kísérheti. Bár sok anya úgy véli, hogy a fogzás miatt hígabb a gyerek széklete (sőt, időnként habos is), ez a kutatások szerint nem a fogzás számlájára írható. Kijelenthetjük: a fogzás nincs hatással a székletre, fogzási hasmenés nincs! Ne feledjük, hogy ebben az időszakban - 6 hónapos kor környékén - kezdi felfedezni a kicsi a világot, emiatt sokkal több kórokozóval találkozik. Kúszik, mászik, mindent a szájába vesz válogatás nélkül. Ráadásul ekkor már megszűnik a baba passzív immunitása is, azaz csökken az anyától kapott antitestek száma. A saját immunrendszerük még igen fejletlen, nem csoda hát, hogy a benyelt különféle baktériumok, vírusok könnyen megbetegítik a babát, kisgyereket, többek között hasmenést is okozva ezzel.
A hányásnál sem igazolták a kutatók az összefüggést a fogzással kapcsolatban. Ha 6 óránál tovább fennáll a hányás, hasmenés, vagy észleljük a kiszáradás jeleit a gyermeken, akkor azonnal forduljunk orvoshoz!
Egyes anyák minimális hőmérséklet emelkedést is észlelnek a kicsinél a fogzás ideje alatt. Fontos azonban leszögeznünk, hogy a fogzás lázat (végbélben 38,5 feletti testhőt) nem okoz, ahogy orrfolyást sem! A fenti tünetek “fogzásra fogása” kockázatos lehet. Sokszor a szülők nem veszik komolyan a lázat, hasmenést, hányást, orrfolyást, mondván, hogy “ez csak a fogzás miatt van”. Ezzel azonban veszélynek teszik ki a gyermeket, hisz így előfordulhat, hogy a tünet elbagatellizálása miatt nem kapja meg (vagy csak később) a szükséges terápiát a gyerek, ennek pedig hamar kiszáradás lehet a vége hányás, hasmenés esetében.
Szükséges tehát az orvosi konzultáció, ha a fenti tüneteket észleljük a gyermeken! Nem érdemes a fogzás démonizálásának csapdájába esni - figyelmeztetnek a szakemberek -, hisz ezáltal később születhet meg a diagnózis, később kezdődhet el a kezelés, és értelemszerűen a gyógyulási idő is kitolódik.

A gyerekkori orrfolyás okai
Az orrnyálkahártya rendszeresen termel nyálkát, olyan folyadékot, amely az orr belsejét nedvesen tartja, és csapdába ejti a baktériumokat, még mielőtt azok még jobban behatolnának. A gyerekek általában a nyálkát a torokba szívják és lenyelik. Az orrfolyás akkor fordul elő, ha a nyálka az orron át távozik, nem pedig lefolyik a torkon. A nyálka lehet sűrű vagy híg, átlátszó vagy átlátszatlan. Az orrfolyás általában magától elmúlik.
A gyerekkori orrfolyás okai:
- Hideg időjárás - Ez olyan reakciót válthat ki, amely a szervezetet több nyálka termelésére készteti.
- Sírás - A könnyek az orrüregbe és az orrba juthatnak.
- Irritáció - Az orrfolyás az allergéneknek vagy irritáló anyagoknak, például füstnek és szennyeződéseknek való kitettségből is eredhet.
- Meghűlés és influenza - Ezek a vírusfertőzések okozhatják az orrüreg váladékkal való töltöttségét, ami elzáródást okoz, ami orrfolyást eredményez.
- Akadály - Idegen test az orrban hasonló tüneteket eredményez.
- Szinusz (orrmelléküreg) fertőzés, gyulladás - A szinuszok azok az üregek, amelyek az orrba ürülnek. Mivel a csecsemő orrmelléküregei még nem teljesen fejlődtek ki, ez a fajta fertőzés csecsemőknél nem gyakori.
- Adenoid (orrmandula) fertőzés - Az adenoidok az orr hátoldalán lévő szövet. Gyermekeknél eme szövet fertőzése orrfolyást eredményezhet.
A következő okok kevésbé gyakoriak:
- Choanalis atresia - Ez akkor fordul elő, ha a csont vagy a szövet az orr hátsó részét elzárja. Ha mindkét oldalon elzáródás van, azt az orvosok általában a születést követően észlelik. Ha azonban az elzáródás csak az egyik oldalt érinti, akkor egy ideig nem észlelhető.
- Orrsövény-elváltozás - Az orrsövény csontos és porcos részből áll. Bizonyos esetekben az orrsövény az egyik oldalra támaszkodhat, és akadályt okozhat. Ez lehet ritkán veleszületett, vagy az orr sérüléséből is eredhet. Az orrsövényferdülés általában később, serdülőkorra alakulhat ki.
- Orrpolipok - Ezek a szőlőszerű növekedések az orr bélésében az orrfolyáshoz vezethetnek. Csecsemőkorban nem jellemző, ritkán fordul elő.
- Orrciszták vagy tumorok - Ritka esetekben ezek akadályokat képezhetnek. A növekedés rákos is lehet, és gyakran csak az orr egyik oldalán fejlődik ki.
Mikor kell orvoshoz fordulni?
Az orvosnak ellenőriznie kell minden olyan babát, aki vigasztalhatatlan vagy magas láza van. Ezek a tünetek középfülgyulladás esetén is előfordulhatnak. Ha az orrfolyás nem szűnik, az olyan egészségügyi problémára utalhat, mint a fentiekben felsoroltak. Ha a csecsemő orra több mint 10 napig folyik, orvoshoz kell fordulni!
A fogszabályozás fontossága
A mai gyerekek fogazata egy civilizációs problémának esik áldozatul - ételeink állaga nem igényel különösebb rágást, ezért az evés nem jár fokozottabb izommunkával és elmarad a szükséges fejlődés. Az alulfejlett állcsont nem képes befogadni a benne fejlődő fogakat és kialakul a torlódás. A másik oka már magzati korban elkezdődhet: ultrahangfelvételeken látták, hogy már a magzat is szopja néha az ujját, viszont az újszülöttek többsége már korán elkezdi az ujját szopni, vagy cumizni.
Szerencsés esetben a fogívek, az állcsontok egymáshoz való viszonya harmonikus, és “csak” fogtorlódás alakul ki a gyermeknél. Kifejezetten nagy frontlépcső a felső és az alsó fogív között (népi nyelven pókharapás), amire jellemző a felső frontfogak előre dőlése, esetenként rések lehetnek köztük, míg az alsóknál torlódottan állnak a maradó fogak.
Normális esetben a felső fogív szélesebb az alsónál. Keresztharapáskor az ujjszopás következményeként amikor a gyermek a szájpadlásnak nyomja az ujját - feltolva - úgynevezett gótikus szájpadlás alakul ki. Így lesz a felső fogív szűkebb az alsónál, fordított harapási viszony jön létre, ami a felső állcsont növekedését akadályozza. Ez az arc fejlődésében is észrevehetővé válik! Különösen szembeötlő, ha a keresztharapás féloldali, a gyermek arca deformálódhat.
Ugyanígy mielőbbi beavatkozást igényel a frontfogaknál előforduló keresztharapás, melyet a köznyelv “bulldogharapásnak” hív. Az arcprofilon látszik az előreugró áll. Az, hogy ezt az alsó állcsont fokozott növekedése okozza, vagy a felső állcsont növekedésbeli elmaradása, a fogszabályozószakorvos tudja megállapítani teleröntgenfelvétel segítségével.
Néha már egészen pici gyerekeknél észrevehető az, hogy az alsó állcsont “előreugrik”, előrefelé növekszik. Korábban az volt az általános vélemény, hogy csak akkor szabad elkezdeni a fogszabályozást, amikor a fogváltás befejeződött. Ez ma már hibának számít, a fejlődésben lévő szervezetet a legkönnyebb befolyásolni, a tejfogazatban sokszor előre látható a probléma, amit ha idejében felismernek - megelőzhető.
A fogszabályozást más-néven állcsont-ortopédiának hívják. A gyermek állcsontjainak növekedését asszisztáltjuk a fogszabályozó készülékekkel, azok egymáshoz való viszonyát, nagyságát befolyásolhatjuk.
Legfontosabb az anyamellről táplálás! Minden más előnyét ismerik a kedves anyukák. A fogazat szempontjából sem elhanyagolható az, hogy a szopás serkenti az állcsontokat a növekedésben. Ahhoz, hogy a tej jöjjön, komoly erőt kell kifejteni: a nyelvet a felső fogívhez szorítva tudja a tejet szívni a kisbaba, miközben az alsó állcsontot is előre kell helyezni, és az alsó ajkat szorítani a felső ajakhoz.
Az öröklött tulajdonságokat magunkkal hordozzuk. Egy gyermeket, óvodást, ill. többségében kisiskolást még nehéz motiválni, nem lehet megértetni vele, miért szükséges a kényelmetlen készüléket használni. Sajnos a kezeletlen eseteknél az állcsontok és a fogak eltérése odáig romolhat, hogy jobbik esetben két felső négyes fogat [természetesen mérlegeljük, van-e más rossz fog], vagy mind a négy négyes fogat ki kell húzni, illetve rosszabbik esetben a növekedés befejezése után az egyik, vagy mindkét állcsont műtéti korrekciójára kerül sor.
Fontos feladat hárul a logopédusokra is. Az állcsontok harmonikus növekedéséhez szükséges az ajak-, az arc-, és a nyelv- izomzat működésének egyensúlya, a helyes nyelés. És itt nem a hangképzési problémákra gondolok. A már említett nyelv,- és ajaktartás, ami az anyamellről tápláláshoz velünk született ösztön, a kisbaba 3 éves koráig természetes. A darabos étel rágásával - a rágás szintén nagyon-nagyon fontos az állcsontok harmonikus fejlődéséhez- lassan átszokik a kisgyermek a felnőttes nyelésre. Ha ez magától nem következik be, akkor kérjük logopédus segítségét, egyszerű gyakorlással korrigálható a nyelv helyes tartása. Azaz most már nyeléskor ne a frontfogakhoz támassza a nyelvét a gyermek, hanem a szájpadláshoz.
Némely kisgyermek az alsó ajkát szorítja [ezt hívjuk ajakszorításos nyelésnek]. Ezzel az alsó frontfogakat löki hátra, és akadályozza az állcsontot is a növekedésben. Ugyanez annál a rossz szokásnál is megfigyelhető, amikor a gyermek az ajkát szorítja, vagy harapdálja, különösen, ha stressz éri. Némely kisgyermek az ujjszopás helyett a nyelvével játszik, anélkül, hogy bárki észrevenné. Mi, szakorvosok látjuk meg, hogy a fogak valamilyen erő hatására rendezetlenek.
A fogszabályozás nem életkorhoz kötött. Felnőttkorban a fogszabályozó kezelés ugyanúgy végrehajtható mint gyermekkorban csak bizonyos tényezők befolyásolják a kezelés menetét. A lehető legtökéletesebb választás abban az esetben, ha eddig is szerette volna szabályoztatni a fogait, de elriasztották a csúnya, és messziről is látható ragasztott fogszabályozók. Az ICE zafírkristály fogszabályozók a lehető legesztétikusabb megoldást nyújtják, a zafír anyagnak köszönhetően az ICE az egyedüli kristálytiszta, szinte láthatatlan fogszabályozó jelenleg.
A Damon fogszabályozó készülék működésének lényege az ún. önligírozó mechanizmus, amely során a szabályozott fogak a fogszabályozó ív mentén el tudnak csúszni. Ennek a csúszási mechanizmusnak köszönhetően a fogak szabadabban és kényelmesebben mozognak, ami megakadályozza a hagyományos rögzített fogszabályozóknál érezhető kellemetlen feszülést.
A Fog-Ház is megszerezte a jogot a világ legkorszerűbb láthatatlan fogszabályozó rendszerének használatához. Az STb nyelv felőli fogszabályozó rendszer kiváló eredményeket ígér a legkülönbözőbb esetekben: hatékony, egyszerűbb és gyorsabb kezelést, valamint magasabb páciens komfortot.

Parodontológia és fogágybetegség
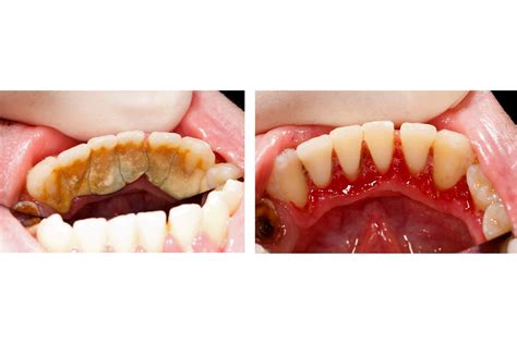
A parodontológia a fogászat legújabb tudományága, korunk egyik leggyakoribb népbetegségével, a fogágybetegséggel foglalkozik. A fogágybetegség a fog tartószerkezetének gyulladásos állapotát és következményes pusztulását jelenti. A betegség oka a fogon kialakuló ínyszéli foglepedék, illetve ennek - a nyál oldott sói által - elmeszesedett változata, a fogkő. A foglepedékeket a száj baktériumai képezik. Ezen baktériumok termékei károsítják az ínyt, aminek következtében az begyullad. Ennek jele a fogmosáskori ínyvérzés. A betegség lappangva halad előre, rendszerint fájdalmat nem okoz. Első riasztó tünetei az íny visszahúzódása, a fogak meghosszabbodása, mozgathatóvá válása, esetenként a kellemetlen szájszag.
A fogágybetegség kezelhető, a folyamat megállítható. A fogágy már elszenvedett pusztulása vissza nem fordítható, de bizonyos esetekben műtéti kezelések árán lehetséges.
A nyálmirigyekből áramló nyál okozza a fogkőképződést, amely fiziológiás, természetes jelenség. Alapos fogmosással a kialakulása megakadályozható vagy késleltethető. Hanyag szájápolás korai következménye, megfigyeltek rá hajlamot is.
Az Egészségügyi Világszervezet (WHO) felvette a népbetegségek listájára a fogszuvasodás mellett a fogágybetegségeket is.
Szájhigiénia és fogtisztítás
Fél évente mindenkinek! Így a fogazat és az íny jó állapota hosszú távon fenntartható. 3 havonta szükséges - fogkőre való hajlam, akut illetve krónikus fogínybetegség és ínyvérzés esetén, fogszabályozó kezelés alatt, fogpótlást viselőknek, fogfehérítés előtt.
Fogorvosi beavatkozások előtt a kezelések mindegyike rendezett íny állapotok jelenlétét feltételezi. A legkisebb ínygyulladás is veszélyezteti és kudarcra ítélheti a precíz beavatkozásokat. Ezért a komplett, professzionális fogtisztítással helyreállított szájhigiénia megőrzése fontos feladat.
Fogkövek esetén ultrahangos gépi műszer segítségével történik a felrakódott, megkövült lepedék eltávolítása. Az íny alatti fogkövek a gépi fogkőeltávolítást kiegészítendő kézi műszerek segítségével távolíthatók el biztonsággal. A kezelés (polírozás ill. fogkőeltávolítás) kb. 1 órát vesz igénybe. Jelentős mennyiségű fogkő illetve íny alatti fogkövek esetén gyakran szükség van kiegészítő kezelésre. A gyulladt, duzzadt íny elősegíti a fogkövek kialakulását, ugyanakkor megnehezíti az eltávolítást.

Holisztikus fogászat és gócbetegségek
A napjainkban egyre nagyobb tért hódító holisztikus szemlélet a fogorvoslás területén is egyre inkább jelen van. Ez a test-lélek egységét figyelembevevő gondolkodásmód nem új keletű. Kiemelkedő jelentőségű dr. Voll és Kramer mutatták ki (bioelektromos mérési módszerükkel-EAV), hogy kölcsönös kapcsolat van a fogak és az energiacsatornájukhoz tartozó szervek között. Ez a felismerés segíthet annak megértésében, hogy egy rossz fog, hogy lehet összefüggésben valamilyen mozgásszervi, emésztési vagy éppen fül-orr-gégészeti kórképpel.
A fogászati góc egy klinikailag tünetmentes, krónikus lefolyású, mikro-organizmusok által fertőzött, elhatárolódott terület a szervezetben. A gócfertőzés során időszakonként kórokozók vagy ezek toxikus termékei áramlanak ki, gyengítve a szervezetet, különösen az immunrendszert.
Az utóbbi években felszaporodott allergiás megbetegedések újból ráirányították a figyelmet a testidegen anyagok, ezen belül az amalgám újraértékelendő szerepére. Mérgező hatását elsősorban a benne levő higanynak tulajdonítják, mely minden szövetben lerakódik. További problémát jelenthet a különféle fémek jelenléte a szájban (pl. amalgámtöméssel együtt jelenlevő arany betét, fémvázas protézis stb.), mely elektromos jelenségek képződéséhez vezethet. Nincs mindenkinek egyformán megfelelő anyag, ötvözet.
Az amalgám tömések cseréje nem mindenkinek és nem minden esetben indokolt, kb. 25%-ban nem lehet kimutatni az amalgám káros hatásait. Ha viszont kimutatható a nehézfémterheltség, fontos az amalgámtömések cseréjét egy méregtelenítési kúrával kiegészíteni, melynek során mentesítjük a szervezetet a bélrendszerben, nyirokkeringésben, stb. lerakódott nehézfémektől.

Fogpótlás és fog implantáció
A fogszuvasodásnak vagy lyukas fognak is nevezett szuvasodást számos tényező okozza, például a szájban lévő baktériumok, a gyakori nassolás, a cukros italok kortyolgatása és a fogak nem megfelelő tisztítása.
Munkatársainkkal együtt magas színvonalú komplex szolgáltatások nyújtására törekszünk. A fogorvostudomány évről évre hoz új megoldásokat és lehetőségeket. Ezekkel lépést tartva próbáljuk az igényeket maximálisan kielégíteni, állandó megújulással és megfelelő technikai háttérrel. Rendelőnkben ötvöződik a fiatal lendület és ambíció a több évtizedes szakmai tapasztalattal.
Konzerváló fogászat a fogak szájüregben való megtartását célzó kezelések összessége. Ide tartozik - modern szemlélet alapján - a tömések készítése, a kozmetikai fogászat, barázdazárás, betétek (inlay), porcelánhéjak készítése, éppúgy, mint a gyökérkezelések (endodoncia). A fogak megőrzése elsődleges feladatunk, ezért a fogmegtartó kezeléseknek kiemelt szerepük van. A konzerváló fogászaton belül a legfontosabbak a tömések, a rendelkezésre álló anyagok sokat fejlődtek az évek során. A kompozíciós tömőanyagok leváltották az amalgámot, ezzel lehetővé téve a fogak teljes - esztétikai és funkcionális restaurációját.
Nagy hangsúlyt fordítunk az esztétikai fogászatra, amely a kor követelményeinek megfelelve a funkció mellett a legfontosabb elvárás. A mély fogszuvasodás következménye gyakran a fogbél gyulladása, ilyenkor a fog elveszti vitalitását. Az esztétika és a jó megjelenés nélkülözhetetlen az élet minden területén. Már egyetlen hiányzó fog esetén is csökken a rágóképesség.
Fogpótlás készítésekor a fogmegtartás az elsődleges cél. A rögzített fogpótlás célja, hogy a hiányzó fogat úgy pótolja, hogy az mind az esztétikai, mind a funkcionális követelményeknek eleget tegyen és a páciens számára megfelelően tisztítható legyen. A fogpótlások anyaga sokféle lehet: fém - kerámia, fémmentes megoldások, cirkonium, arany, kompozit. Színük, alakjuk a többi foggal teljesen harmóniában van.
Az implantáció a legmodernebb módja a fogpótlásnak. A fogászati implantátum egy titánból készült kis csavar, amelyet a csontnak abba a részébe helyezik, ahol a foggyökér helyezkedett el, ezzel helyreállítja a páciens rágó képességét és fogai esztétikus megjelenését. Az implantátum az alsó és a felső állcsontba is tehető, elősegítve ezzel a fogpótlások elhorgonyzását. Használatával lehetővé válik akár egy fog koronával való pótlása, több fog hiánya esetén pedig nagyban segíti, hogy fix pótlást tudjunk készíteni.
Több fog hiánya esetén sokszor nincs elegendő fog ahhoz, hogy megfelelő megtámasztású hidat készíthessünk. Ha kiterjedt a foghiány, vagy minden fog hiányzik, implantátum által megtámasztott fogsor készítése is lehetővé válik. Teljes fogsort viselőknél a megfelelő helyben maradás nagy probléma, főleg ha a csont már sorvadni kezd. Még a legjobban illeszkedő fogsort is érezheti lazának a páciens. A teljes felső fogsor a szájpadlás legnagyobb részét elfoglalja, akadályozva ezzel az ízérzést és az étkezés örömét.
Az implantum anyaga titán, ami egy nagyon erős és biokompatibilis anyag, az emberi szervezetet nem allergizálja. Az implantációs kezelés során először az implantológus körültekintően megvizsgálja az állcsontok minőségét és mennyiségét. Ha az eredmények ideálisak, megtörténhet a fogbeültetés. Először beültetik magát az implantátumot az állcsontba. Ezt egy néhány hónapos gyógyulási időszak követi amíg teljesen részévé válik a csontnak. Klinikánkon jól felkészült, nagy tapasztalattal rendelkező specialisták végzik az implantációs kezeléseket, kiváló minőségű eszközöket, implantátumokat felhasználva. Az implantációt a Fog-Ház kiváló implantológusai végzik.
Ha régóta fennáll a foghiány, akkor a csont elkezd lebontódni. Ezért implantációkor sokszor előfordul, hogy mesterséges vagy saját csont beültetés is szükséges. Az implantációs eljárás már több évtizedes múltra tekint vissza, a műtéti technika tökéletesen kiforrott, az implantációt végző szakemberek pedig nagy gyakorlattal rendelkeznek a műtétek kivitelezésében. A fogászati implantátumoknál rendkívül nagy szerepe van a megfelelő gondozásnak, mivel nagyon érzékenyek a rossz szájhigiéniából fakadó, körülöttük kialakuló gyulladásra.
A fogászati implantáció menete: implantáció lépésről lépésre

tags: #haromszori #fogzas #felnottkorban